関係するものには,①肺実質病変(石綿肺,円形無気肺) ②良性胸膜病変(胸膜プラーク,びまん性胸膜肥厚,良性 石綿関連胸水)③悪性病変(肺癌,胸膜中皮腫5))がある。 以下に胸部単純x線写真とct画像を中心に症例を その息切れ本当に大丈夫? 肺の病気vol,1~CT画像で見る"肺気腫"~ 最近テレビ番組やCMなどでよく耳にするようになったCOPD*1という言葉。 「喫煙と深い関わりのある病気だ! 」と、ピンと来る方も多いのではないでしょうか? COPDは"慢性閉塞性肺 無気肺(atelectasis)とは一般に,肺区域あるいは肺葉以上のレベルで容量減少をきたした状態を言う 1) 。 肺胞領域での含気の吸収の結果,胸部X線での透過性低下,気管支血管束の収束・偏位などの所見を伴う。
O1qq22cjlllou16giuj Jp Archives 171
無気肺 画像 ct
無気肺 画像 ct- 無気肺で肺葉の位置関係を復習する 学生実習 呼吸器内科 循環器内科 研修医の基本 放射線科 こんにちは、最近戒名の半分を授かってきたぬーみんです。 徹夜明けでお寺に行ったので住職のありがたい話のほとんどで寝ていました。 完全な戒名をもらっ画像的には中枢側(気管支側)に発生ことが比較的多いが、 抹消の肺に発生することもある。 空洞を作るのも特徴である。 早期であれば手術、進行期であれば放射線+化学療法が 選択される。



トピックス 小児科 すこやかアレルギークリニック
気道分泌物の閉塞によるものと思われる無気肺の存在 がある、(3)胸部画像上、肺硬化像を伴った肺炎など の肺病変の存在がある、以上のようなときに、ポジショ ニングの適応があると言える。 ただし、すべての患者においてポジショニングを実施 無気肺になる原因は、痰詰まり・気管支内の異物・肺がんが多いです。 主な症状は発熱・息切れ・頻脈などです。 聴診や画像検査(胸部レントゲン検査や胸部CT検査)を用いて診断します。 特に肺がんや気道内異物が疑われる場合は、気管支内視鏡を無気肺の存在診断は、画像検査で、含気を失った罹患肺葉は濃厚なくさび型陰影として認められる。典型的な肺葉性無気肺の場合、図に示したような所見をとる( 図表 > 図表 > 図表 > 図表 > 図表 > 図表 > )。 。 また、無気肺によって生じる位置の偏位や濃度の変化を来す無気肺周辺の変化を
と報告した。Bendixen は無気肺の発生と考えたが,全身麻 酔中に発生する無気肺は単純レントゲン撮影では検出できな かった。この全身麻酔時に発生する無気肺が画像として明示 されたのは1980 年のCT を用いた報告であり,対象は新生 児であった。5肺・胸膜 (5)肺拡張不全・虚脱(無気肺)病理コア画像 5肺・胸膜 (5)肺拡張不全・虚脱(無気肺) ミクロ像(HE弱拡大):肺拡張不全の例で、一度も空気で膨張したことのない死産児無気肺の組織像。 画像をクリックすると拡大表示します。胸水,無気肺 Complex septated pleural effusion Koenig S J et al Chest 11; ©11 by American College of Chest Physicians
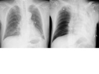
>画像所見 : Chest Xp : 右上葉に強い閉塞性の変化(無気肺と閉塞性肺臓炎)がみられ、肺門部にも腫瘤影が疑える(↑)。 造影CT : 右上幹は腫瘍で閉塞し、気管および気管支周囲のリンパ節も腫大無気肺は、肺の一部または全体に空気がなく、肺がつぶれた状態です。 無気肺の一般的な原因は気管支の閉塞です。 酸素レベルが低くなる、または肺炎が起こると、息切れが生じます。 診断を確定するには胸部X線検査を使います。 治療では、深い呼吸>画像所見 : 胸部単純 x 線写真正面像では右下肺内側が暗くなっており、右心第 2 弓の輪郭が不明瞭(シルエットアウト)。 側面像では肺門部から前肋横角に向かう紡錘形の陰影(↓)がみられる。 >診断 : 中葉無気肺 >解説 : 無気肺化した中葉は正面単純写真では右心第 2 弓を底辺と



O1qq22cjlllou16giuj Jp Archives 171



Http Www Jseptic Com Journal 25 Pdf
無気肺でも肺容積減少を呈し,患側の横隔膜が挙上す るが,片側性であることが多く,無気肺部以外の肺は代 償性に拡張するので透過性低下ではなく透過性亢進を来 図2 横隔膜挙上 内臓脂肪による 痛みが出る部位はココ! X線、CT画像あり肺の場所を図で解説! 痛みが出る部位はココ! 呼吸器のメイン器官である 肺 。 実はこの肺・・・肺自体が能動的に動くわけではなく、横隔膜などの呼吸筋の動きと、その動きに伴う胸腔内圧が変化すること 円形無気肺の画像所見 円形あるいは類円形の腫瘤影 を形成する。 胸膜肥厚 を伴うことが多い。 胸水 の既往があることが多い。 無気肺部に向かって近くの気管支と動脈が、弯曲する comettail sign(彗星の尾に似ている) を認めることあり。 症例 80歳代男性



日々の症例 156 中葉症候群



沖縄県医師会 沖縄県医師会報 07年4月号
•初期の肺門部型肺癌は、画像上指摘困難 •閉塞性肺炎や無気肺などの末梢肺の二次 性変化が手がかりとなることが多い •小細胞癌は、末梢肺の二次性変化が乏しい 傾向にある •喫煙、重金属、石綿、珪素、大気汚染などと の関連が高い 画像の特徴としては ①無気肺になった側の肺が真っ白になる。 ②縮んだ肺は容積が減少する。 ③肺の縮みの程度(抜けた空気の程度)が大きいと、周りの組織が引っ張り込まれる。 肺内の空気が抜けてしまうわけですから、肺の濃度は真っ白になります。 無気肺が疑われる場合、画像検査と気管支検査を実施して診断します。 画像検査 胸部レントゲンやctなどの画像検査が行われます。 一般的には、無気肺となった肺は濃厚な楔状の陰影として見られます。



今日の症例 無気肺で肺が縮むということ3 やさしイイ呼吸器教室



無気肺 むきはい は治せるか 理学療法士greenのセラピストーク
無気肺は麻酔導入から数分以内に起こると推定され、患者の90%に発症し、術後数日に及ぶことがあるなど、手 術室で最もよくみられる合併症のひとつとなっています 46 。全身麻酔中の無気肺の発症に寄与すると考えられる3つの生無気肺について 解剖ばかりだとあれなんで、疾患の話でも。 もし、細気管支が詰まってしまった(塞栓)場合、 末端の肺胞は空気をKohn孔から空気がまわって無気肺を防ぎます。 塞栓が末端であれば、ある程度はカバーし合えるんですよ。 肺胞について所見からせまる胸部画像 肺野 小葉からみた所見の分布 びまん性とは? 限局性浸潤影・すりガラス影 びまん性浸潤影・すりガラス影 限局性粒状影 びまん性粒状影 孤立性結節影・腫瘤影 、結節陰影を来しうる肺感染症 多発性結節



気胸と無気肺の違いはなんですか また関係性について教えてくださいm Yahoo 知恵袋



胸水と無気肺の胸部x線画像の鑑別 医学的見地から
胸水と無気肺のx線画像の鑑別 無気肺 胸水 透過性低下部分が胸壁に接する部位の方向 下(尾側)に向かう 出典:106f28 上(頭側)に向かう 出典 理由 液体だから•上肺静脈、右肺動脈下幹 –肺門血管の太さ •中間気管支幹の葉間肺動脈の太さは、約15mm •通常、交差する後部の肋骨の幅に近似 •肺野 –上下の肺血管陰影の密度の差 •正常の上下比は、1:152 •横隔膜 –高さは、右>左肺浸潤をきたし確定診断に難渋した悪性リンパ腫の2例 肥田 典子a a堀内 一哉 a石井 源 笠原 慶太a a鈴木 隆 b御子神哲也 要旨:初診時より肺病変を伴う悪性リンパ腫の報告は少なく,画像所見も多彩であるため確定診断までに難



入院5日目 無気肺変化なし 3娘ブログ ひっそり移転更新停止 ゚d゚



30代肺ガン闘病記 無気肺状態のレントゲンとct
無気肺 無気肺は、 空気の流入が妨げられ肺が虚脱した(肺胞が潰れた)状態 のことです。 無気肺のメカニズム 全身麻酔による気管内チューブの挿管や吸入ガスの刺激で 気管内分泌物が増加 し、 肺胞腔内に貯留してしまう ことが原因で起こります。 肺胞内に分泌物などが貯留してし5肺・胸膜 (5)肺拡張不全・虚脱(無気肺)病理コア画像 5肺・胸膜 (5)肺拡張不全・虚脱(無気肺) マクロ像:拡張した後で生じる2次性無気肺または肺虚脱(collapse)である。 左肺全体、右肺中葉と下葉(点線)が虚脱している。Ⅰ期肺うっ血(肺毛細管圧1012mmHg) 上肺静脈拡張、下肺静脈収縮 Ⅱ期間質性肺水腫(肺毛細管圧1225mmHg) 小葉間隔壁肥厚(カーリーBライン) 血管周囲の水腫 気管支周囲の肥厚 Ⅲ期肺胞性肺水腫(肺毛細管圧2530mmHg) 蝶形陰影(またはバットウイング)



無気肺 Images Stock Photos Vectors Shutterstock



中葉舌区症候群 肺全摘後症候群の慢性無気肺症例における Nasal Continuous Positive Airway Pressure 療法の試み Semantic Scholar
また画像診断上の診断基準の設定にも種々の問題がある ことを報告している.そのなかで肺のねじれを認めるも のを典型例とし,また非典型例と圧迫性無気肺や器質化 肺炎との区別が困難な場合のあることも現時点ではやむ無気肺は、気道が閉塞したり、肺が圧迫されて空気が入らなくなることで起こる。 詳しく見てみると、無気肺の原因は次の4つに分類される。 1、閉塞性無気肺 気道が閉塞 し、その末梢にある肺に空気が入らなくなる状態。



無気肺



左肺前葉にみられた肺葉捻転の犬の1例 亀戸動物総合病院 墨田区 犬 猫の動物病院



胸部x線写真 各論3 無気肺 やさしイイ呼吸器教室



症例005 左上葉無気肺 肺小細胞癌 胸部単純x線写真 X線写真 症例 肺



Vmn セミナー情報 知って得するセミナー Veterinary Medical Network



無気肺



肺炎と彼の右の肺の無気肺の患者の X 線フィルム の写真素材 画像素材 Image



Atelectasis Html



肺炎や呼吸困難を起こすこともある無気肺はリハビリで予防できる 無気肺のリハビリ 予防 対策について解説します Ogスマイル



無気肺 肺疾患のベクトル イラスト のイラスト素材 ベクタ Image



無気肺 Images Stock Photos Vectors Shutterstock



11 胸部x線 読影セミナー Web医事新報 日本医事新報社



Q A Vol 1 気管偏位で病態がわかる 胸部レントゲンに関するq A 日本離床学会



Www Obayashihp Or Jp Kakuka Pdf Ba Test15 Pdf



X線診断の基礎知識 レントゲン写真の読み方 簡単解説



解答 解説 健診異常を主訴に受診した60歳代女性 実践 画像診断q A 羊土社 レジデントノート 羊土社



症例12 疾患名 解説 各種疾患データベース



Http Www Obayashihp Or Jp Kakuka Pdf Kensi Series2 F1 Pdf



その息切れ本当に大丈夫 肺の病気vol 3 Ct画像で見る 無気肺 心臓弁膜症 手術 みどり病院 神戸市西区



無気肺 見て わかる 病態生理と看護 花子のまとめノート



Dm Ctg 筋強直性ジストロフィーの多臓器症状 呼吸障害



人工呼吸器の長期装着による 肺の膨らみやすさ の低下要因を探る Academist アカデミスト



日々の症例 156 中葉症候群



症例05 疾患名 解説 画像データベース



中葉舌区症候群 肺全摘後症候群の慢性無気肺症例における Nasal Continuous Positive Airway Pressure 療法の試み Semantic Scholar



1



肺炎や呼吸困難を起こすこともある無気肺はリハビリで予防できる 無気肺のリハビリ 予防 対策について解説します Ogスマイル



術前評価 関西医科大学麻酔科学講座



症例007 左下葉無気肺 気管支結節 胸部単純x線写真 X線写真 肺 症例



解答 解説 乾性咳嗽を主訴に来院した40歳代女性 実践 画像診断q A 羊土社 レジデントノート 羊土社



Hospital Tottori Tottori Jp 1940 Html



5 肺 胸膜 5 肺拡張不全 虚脱 無気肺 病理コア画像



Http Saigaiin Sakura Ne Jp Sblo Files Saigaiin Image 3e784a1e6b097e8bae381bee381a8e381 Pdf



今日の症例 無気肺で肺が縮むということ3 やさしイイ呼吸器教室



レッスン15 異常陰影を指摘せよ 難易度 中 2ページ目 日経メディカル



11 胸部x線 読影セミナー Web医事新報 日本医事新報社



無気肺の看護 原因や看護問題 看護目標 計画と看護のポイント ナースのヒント



右気道出血患者に対する気管支鏡を用いた出血源の同定と痰吸引指導



胸部x線写真 各論18 胸水と無気肺 やさしイイ呼吸器教室



症例12 疾患名 解説 各種疾患データベース



Http Www Obayashihp Or Jp Kakuka Pdf Kensi Series2 F1 Pdf



日々の症例 73 無気肺と閉塞性肺臓炎



症例010 板状無気肺 2日後の胸部単純x線写真 X線写真 症例 肺



その息切れ本当に大丈夫 肺の病気vol 3 Ct画像で見る 無気肺 心臓弁膜症 手術 みどり病院 神戸市西区



無気肺 Images Stock Photos Vectors Shutterstock



閉塞性 瘢痕性 圧迫性無気肺の仕組みのイラスト フリー素材 看護roo カンゴルー



Http Saigaiin Sakura Ne Jp Sblo Files Saigaiin Image 3e784a1e6b097e8bae381bee381a8e381 Pdf



胸部単純写真の読影08



円形無気肺の胸部ct画像 Youtube



解答 解説 健診異常を主訴に受診した60歳代女性 実践 画像診断q A 羊土社 レジデントノート 羊土社



胸部ct 放射線科医コメント 大量の右胸水を認める 右下葉は一部無気肺になっている 肺野には結核 腫瘍を考えさせる異常所見は指摘できない 明らかな肺門部 縦隔リンパ節腫大は指摘でない 最初のページにもどる



Mriで中枢性肺癌と無気肺の鑑別が可能 呼吸器内科医



鍋子 Twitterren ネコの無気肺のレントゲン写真を見ながらおやすみなさい



無気肺とは コトバンク



無気肺で肺葉の位置関係を復習する ぬーみんの日記



日々の症例 73 無気肺と閉塞性肺臓炎



気管支 肺腫瘍



肺の病気 肺気腫 無気肺 肺癌 ビ グルズの徒然日記



X線診断の基礎知識 レントゲン写真の読み方 簡単解説



日々の症例 156 中葉症候群



Www Jaot Or Jp Files Page Wp Content Uploads 10 08 Sagyoryoho37syoureisyou4 Pdf



Nos Golden S Sign



無気肺 05 肺疾患 Msdマニュアル プロフェッショナル版



少量の胸水 無気肺 Youtube



無気肺の看護 原因や看護問題 看護目標 計画と看護のポイント ナースのヒント



メディカルa



胸部x線写真 各論18 胸水と無気肺 やさしイイ呼吸器教室



症例 1 80歳代後半 男性



レッスン15 異常陰影を指摘せよ 難易度 中 2ページ目 日経メディカル



トピックス 小児科 すこやかアレルギークリニック



胸部x線ルネッサンス 下 診内研より495 医科 学術 研究 兵庫県保険医協会



無気肺とは ペベリンスキーズ ブログ



循環器科 川口 鳩ヶ谷 蕨 北区赤羽の動物病院ならピジョン動物愛護病院



無気肺



Http Www Jrs Or Jp Quicklink Journal Nopass Pdf j Pdf



101g14 Medu4でゼロから丁寧に医学を学ぶ



112d31 Medu4でゼロから丁寧に医学を学ぶ



X線診断の基礎知識 レントゲン写真の読み方 簡単解説



その息切れ本当に大丈夫 肺の病気vol 3 Ct画像で見る 無気肺 心臓弁膜症 手術 みどり病院 神戸市西区



肺炎 無気肺 胸膜炎 こどもの病気 おとなの病気



無気肺 肺の一部また全部の肺胞内の空気がなくなってしまう



症例008 右中下葉無気肺 肺扁平上皮癌 胸部単純x線写真 X線写真 嚢胞 肺



胸部レントゲンの異常所見まとめ 保存版 重要な疾患7つを解説 コキュトレ



無気肺ってレントゲンだけで診断は出来るんですか わかるも Yahoo 知恵袋



肺結核 胸部 X 線 無気肺と浸潤と結核菌感染による胸水 の写真素材 画像素材 Image



無気肺とは コトバンク



解答 解説 労作時の呼吸困難を主訴とした50歳代男性 実践 画像診断q A 羊土社 レジデントノート 羊土社



1



レッスン2 異常陰影を指摘せよ 2ページ目 日経メディカル



5 肺 胸膜 5 肺拡張不全 虚脱 無気肺 病理コア画像



1



解答 解説 労作時の呼吸困難を主訴とした50歳代男性 実践 画像診断q A 羊土社 レジデントノート 羊土社

0 件のコメント:
コメントを投稿